
#LLL# Dario Neira, Somato-Landscape,
2011, stampa lambda, cm 150x150
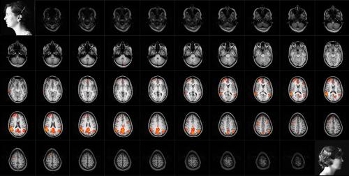
#LLL# Marta De Menezes, Functional
portraits (Self-portrait while drawing),
2003, installazione:
video proiezione su tela, cm 200x200
#LLL# Marta De Menezes,
Proteic Portrait, 2003/2007,
installazione ambientale: tavolo
da lavoro, refrigeratore, provette
contenenti la proteina mArta,
computer, monitor, proiettore,
lampade da tavolo, dimensioni variabili
Body Nature, mostra che segna il nuovo tema del PAV-Parco Arte Vivente di Torino dedicato al Mondo corporale, esplora i due concetti, Corpo e Natura, come appartenenti uno all’altra e viceversa. La natura può infatti essere intesa come corpo costituito di natura stessa o in essa immerso, un agente vivente e comunicante nel mondo.
I lavori in mostra si contraddistinguono rispetto ad altre esposizioni nel panorama dell’arte contemporanea per l’impiego quasi esclusivo di materiali biologici (DNA, proteine, cellule, batteri) intesi come medium. Mentre infatti la biologia e le biotecnologie, con gli ultimi sviluppi dell’ingegneria tessutale, fino a poco tempo fa erano utilizzate dagli artisti con intento provocatorio (Stelarc, Orlan), oggi costituiscono semplicemente lo strumento con cui esprimersi, e non il tema centrale affrontato. Esporre nello stesso contesto le opere di Marta De Menezes (Lisbona, 1975, alla sua prima presenza in Italia) e Dario Neira (Torino, 1963), artisti appartenenti al filone di ricerca cosiddetto Biotech, significa rintracciare una matrice comune, un’affinità che va al di là degli strumenti medici e scientifici impiegati. La relazione dei lavori è in effetti riscontrabile nell’attenta, quanto critica, visione della realtà, la stessa che spinge entrambi a indagare i problemi etici sollevati dalle pratiche di laboratorio utilizzate e, in sintesi, a parlare del corpo biologico nel mondo. Con tutti i limiti riconosciuti alle macchine perfette che siamo, gli artisti interpretano l’involucro che ci contiene come il filtro, la soglia attraverso la quale interno ed esterno comunicano.
L’ingresso dell’esposizione è segnato dal “benvenuto” di Neira. È Welcome (Doormat), lavoro site-specific che invita il visitatore ad attraversare quello che, solo in apparenza, è un normale zerbino in cocco. La scritta “welcome” è realizzata con la posa di cumuli di colonie batteriche saprofitiche (Escherichia Coli, Stafilococcus Epidermidis, integrati da Lactobacillus Casei), riproposte nella stessa concentrazione che è possibile trovare sulla superficie della mano nel comune saluto-scambio. È il benvenuto nella dimensione batterica in cui siamo quotidianamente immersi, la stessa che genera paure radicate come la biofobia e che in modo ossessivo può indurre a detergere ogni cosa con gel e disinfettanti, antisettici accusati dell’aumento dell’incidenza di allergie.
A sottolineare come la scienza e l’arte non siano discipline disgiunte, ma che anzi, possano collaborare, è Proteic Portrait della portoghese De Menezes. L’installazione si presenta come un atelier, luogo della creazione e della sperimentazione dove, a differenza dello stereotipato cavalletto tipico dell’immaginario artistico, trova posto un laboratorio funzionale alla costruzione del ritratto dell’artista; un ritratto, appunto, proteico. È infatti la struttura molecolare della proteina mArta, ottenuta inserendo una sequenza di nucleotidi nel DNA di un batterio (Escherichia coli), a rappresentare De Menezes. Ma è un ritratto collettivo, un work in progress che riunisce l’esito (la sequenza di aminoacidi contenuta in una cella refrigerante); il processo scientifico (strumentazioni, documentazione video, dettagli di protocolli) e la storia biografica (i cognomi dei componenti della sua famiglia). Aprendo questioni su cosa sia naturale e artificiale, la proteina mArta è a tutti gli effetti un elemento naturale prodotto dal batterio, ma che al tempo stesso non si trova in natura.
Ancora identità in cerca di definizione nei ritratti Functional Portrait di De Menezes e Somato-Landscape di Neira. Entrambi realizzati sottoponendosi a risonanza magnetica, il primo mostra la risposta emodinamica correlata all'attività neuronale in una precisa azione (l’artista che disegna), mentre il secondo è un ritratto “all’osso”, essenziale e organico, eppure ancora capace di raccontare le emozioni e l’intimità del soggetto.
Superati i confini disciplinari, lo scenario a cui si assiste è un ritorno a indagare una terza natura, quella esistenziale e “sacrale” dell’essere umano che si interroga sulla vita e morte. Nel suo mistero e paura.
dal
5 febbraio al 24 aprile 2011
Body
Nature – Marta De Menezes e Dario Neira
PAV
- Parco d’Arte Vivente
Via Giordano Bruno, 31 - 10134 Torino
Orario: da mercoledì a venerdì ore 10-13; 15-18; sabato e domenica ore 12-19
Ingresso: intero € 3; ridotto € 2
Info: tel. +39 0113182235; [email protected];
www.parcoartevivente.it
